Date sent: Fri 5/9/2003 12:47 PM
The Cat Is Out Of The Bag

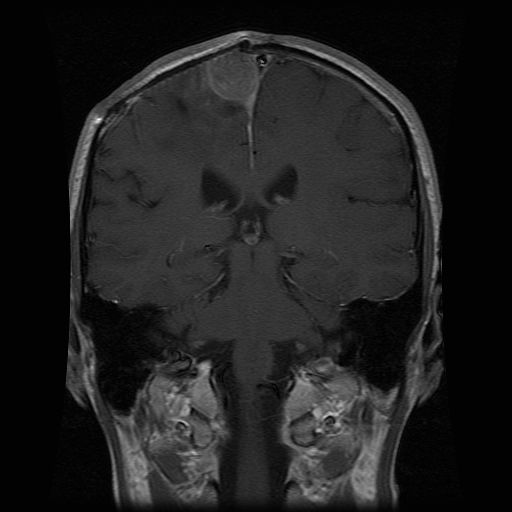
When I took the lid off the cat’s paradox it looked at me lazily and said: “I take the weekends off” and went into the house.  We sent the MRI films to Boston immediately, but this was the first time we also got the data on CD.  So we were able to review the films on the computer over the weekend. 

On Monday the report told me what I already knew.  The mass had grown bigger by half a cm all around [top view, ear-to-ear view] in one month.  The radiologist no longer considered it an abscess, but said it was tumor re-growth.  When Dr. Black saw the films he agreed it was tumor, but thought radiation was the next course of action, not surgery.  He seemed a little surprised that I was not doing radiation already. 

Dr. Weinstein, the infectious disease doctor, also agreed it is tumor, so we discontinued the antibiotics. 

So, on Monday we go to Cleveland.  They reviewed my case and they have recommended surgery. So Monday we will meet with a chemo specialist, a neuro-radiologist, a neuro-surgeon, and a neuro-oncologist. 

Whew!

Things are moving fast and furious, but I’m glad at least we’re moving.    Currently, my left leg from the knee down is uncontrollable.  I’ve had several near falls in the night without my leg brace.  My motor seizures are starting to break through again.  My stomach now does a rhythmic dance for a few minutes several times a day.  This just started 2 days ago.  So, we’re going to change my medicine to see if we can get that under control. 

Day-to-day living has been getting more challenging by the week.  So, I am interested in surgery again to remove the bulk of the tumor.  Reducing the tumor size is the only way to help alleviate my symptoms.  And, surgery is the quickest way to do that.  The other treatments focus on trying to kill the cancer, and may or may not reduce the tumor size. 

Maybe Cleveland’s operating rooms are cleaner than Boston’s.  I certainly hope so.

I talked to Margie last week about the difference between living out of fear and living out of love.  I spend most of my life making decisions “out of fear.”  We talked a lot about the freedom that comes with letting go of fear.  Most of us live our lives from a fear base.  This concept is very much in my face right now as I contemplate what to do next.  As I wrote last time, I can feel that the freedom is in the letting go of expectations and results.  But, that is so hard to do.  When I contemplate having a 4th surgery, the only serenity I have is that it feels like the next right thing to do.

Recently, I’ve been talking to someone in Yellow Springs who has undergone many cancer treatments.  It’s so nice to talk to someone else who understands what it feels like to have my world be such a struggle while everyone goes about their business.  I’ve also written to a doctor in CA, whose business is to help patients find resources to get the best treatment, whether it is Western or Alternative medicine.  He’s a very busy person, and I will not be able to talk with him until June 19th.

One more thing about money… I wrote last time that our families had given us $30K over the past 8 years.  After Abi and I talked about it, I realized it was more like triple that amount.  I am very grateful for everyone’s generosity and I think I minimized what I thought they contributed, because I was just thinking about the last couple of years.

The kids seem to be pensive about what’s going on.  When Zachary heard I wasn’t going to be using antibiotics anymore he said, “Way to go Dad!”, but then Abi told him that meant it was tumor re-growth and he said, “Oh, that’s not good.”  When Hana heard that I might need radiation she asked Zachary if he had heard.  She has asked me every day since if I’ll need radiation or not.  She also said that she didn’t want me to die.  I told her I didn’t want to die either and that I am doing everything I can to stay well, but there are no promises.  And no matter what I would always love her.  And she said she would always love me and that she wanted me to die of old age. 

Abi, like me, I think is feeling drained and pulled by these series of events, which go on and on and on…We keep making plans, not knowing if we will actually be able to carry them out.  For example: going to my mothers’ on Memorial Day weekend, and Abi taking Hana to Chicago next weekend for her birthday.  But, in the back of our minds, we always know that our plans might have to change.

I’ll let you know more after we’ve been to Cleveland.

With Peace, Love and Hope,

Dan

http://katzstein.com
http://life.katzstein.com

 

Previous
Home
Next

Copyright May, 2003 - Please do not copy any part of this journal without written permission.