Date sent: Fri 5/16/2003 9:55 AM
Fasten Your Seat Belts

As you step on to the roller coaster, please fasten your seat belts, hold onto the railing with both hands, keep your head gear on at all times, because this is a unique ride.  Screaming is ok, and remember, that you won’t be back for six weeks.  Have a good trip.

Abi and I went to Cleveland last Monday.  I went expecting they would recommend surgery. So it was frustrating to have the meeting with the surgeon be the last appointment of the day.  The chemo doctor informed us that my 1p chromosome was intact, which makes the tumor is less sensitive to both chemo and radiation.  The tumor is growing fast enough that he recommended low dose chemo and radiation concurrently.    The radiation doctor said his job would be easier with surgery because he could focus on the margins of the tumor rather than the whole mass. 

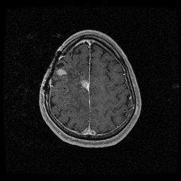
Abi pointed out that there are two lesions not just one.  The second lesion first showed up last month on the MRI and was bigger on this month’s MRI.  The doctor said he would treat both lesions at the same time, but there is a risk of increasing all my current deficits:  left side weakness, seizures and cognitive deficits. The tumor is growing fast enough, that the benefits outweigh the risks.

The oncologist reiterated all the above, telling us that this tumor type is less sensitive by about half, but that of course it could still be treated. 

At the end of the day, at 3:00pm, Abi and I were really starting to drag and that’s when we met with the surgeon.  He said there are two lesions, and removing the main one would be a “chip shot.”  Abi and I just looked at him.  Then he explained that it would be very easy to remove.  Clearly he plays a lot of golf.  But, then he said the second lesion changes the whole story.  That it would not be easy to remove at all; it is right over the motor cortex, right about the left arm.  He thinks doing any surgery would just delay needed treatment by at least two weeks.  If I got another infection, it would delay it even longer.  So, his recommendation, in the end, was the same as the chemo doctor’s in the beginning, chemo plus radiation. 

I had planned to go back to Cleveland yesterday (Thursday) to get a PET scan, MRI, and a radiation mask made.  On Friday the plan was to get a tattoo and a CT scan to test the mask. However, Wednesday I developed a low grade fever, so all this will have to be done next week, and start the treatments the day after Memorial Day.

Deep breath…

I was telling Abi while we were at the hospital that I sometimes have these flashes that when I go by people laughing and having a good time that my brain tumor will jump out of my head and go into their heads.  She suggested that maybe that was part of still being angry about the tumor.  Another time while I was there I watched someone get up from the table and take his tray over and said, oh yeah, that’s how you move.  I remember that.

When we got home we talked to the kids about what we learned.  Hana was very emotional, upset and clingy.  Zac was kind of holding back.  I can only remember one question he asked.  He asked if I would have another three year period where the tumor would not affect me.  I said that the doctors didn’t give me much hope.  Immediately, Hana went to her room and found a hope a coin that Abi had given her.  The coin said if you ever need hope just hold it.  Zac went and got a Chinese good luck charm he had just purchased at an art exhibit, and put it on my bed post.  When Abi asked if it worked, he said well it helped me get my homework done.

I am truly blessed by an amazing family. 

When I was in Cleveland I was thinking how much more of my self do I have to give up to this cancer.  When I mentioned to this Abi she said, if you have to ask that question, then clearly you haven’t completely surrendered your attempt to control.

The Cleveland Clinic has a free place to stay called Hope Lodge, which is where I’ll stay five days a week for the six weeks of radiation therapy.  It is required that someone stay with me at all times.  We’re still working on the details. 

I hope you are well.

With love, hope, and blessings,

Dan

http://katzstein.com
http://life.katzstein.com

 

Previous
Home
Next

Copyright May, 2003 - Please do not copy any part of this journal without written permission.