Date sent: Sat 7/17/2004 3:59 PM
Regrowing Confirmed - again....:(

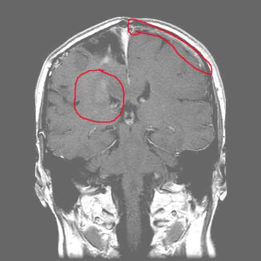
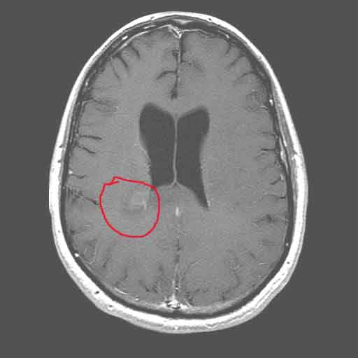
As we have known since January, my tumor is regrowing.  I had a short break where the Temodar seemed to be making some difference.  But, even the Temodar seems to be failing now.  I got an MRI last week showing a new mass deep in the white matter of the parietal lobe.  I have known for some time that I have been getting worse and worse.  I asked Abi “What’s different today than yesterday?”  And she said “Now we have radiological confirmation that the tumor is regrowing.”  And the kicker is, that there is no additional treatment for this type of tumor – in either Western or Eastern medicine.  Well, ok, there are treatments I could try, with known severe side effects, and very minimal effectiveness.  Maybe adding 6 or 9 months to my life, if they work.

I knew that when Dr. Stevens started to talk about melatonin as one of the treatment options, that I didn’t have many options left.  We will go to Cleveland on Tuesday and talk to them about the next steps.

I am mentally and emotionally reeling from these latest, inevitable developments.  There was never a question that I would get here eventually – where I had no obvious additional options.   Now that my body is not responding to the Temodar and my condition is worsening and there doesn’t seem to be any additional options, I can’t hide from facing this eventuality… and it hurts.  Observers say that I have put up “a good fight.”   That’s a small consolation.  And, from here I really don’t know what will be next.  Will my decline be quick or slow?  How much will I be able to engage in life from here on?  Again, what changed from yesterday to today?

I am having more headaches, so I will probably have to increase my decadron (steroid).  I was down to 1mg/day and had lost 15 lbs. My speech was better etc.  But I’; need to go up on the steroid to for conform and balance.  I have fallen four times in the last 4 weeks.  I’m now carry the cane in the house – just in case, and I do catch myself some times… Our choice of new car was dictated by my ability to get in and out of it.  My vision has been directly affected by these changes, and making it much harder to use the computer.  I am tired much of the day.  I remember things in funny ways.  Abi and I talked about moving the computer closer to our bed and rearranging the room weeks ago – several times I’ve “remembered that we moved the computer.”  Of course, we have not.  I always feel a little jolted by these lapses in reality.  

When we return from my dad’s funeral in New Jersey, Abi starts full time internship 80 working hrs per week.  And, we have some of my care lined up, but not all of it. 

I feel like my life and my environment are a mess.  I am feeling very sorry for myself.  I want to feel stronger.  But, having no idea where that might come from.  We do have a ray of hope.  Liz, who has been around the block with cancer a couple of times, has adopted us, saying that helping us is “the most important work in her life that she can think of right now.”  But otherwise I think August then September are going to be two rough transition months.

I have been thinking about my dad’s death and funeral, I thought of witticisms that I wanted to share with you to illustrate the kinds of things he and I would share together.  For example, The Department of Homeland Security issued a warning against using Internet Explorer and suggested using a different program to access the internet.  This is like the government suggesting not driving a Ford.  My dad and I could spend 10 minutes talking about this and about the government warning us not to use Microsoft products.  In the computer world, this is a very funny development.   Abi suggested that I share it with him anyway.  I did.  But, it just didn’t feel the same. 

And, I really miss him during this difficult time.

Abi and I have been talking about my living will.  Up to now, we have been relying on our power of attorney, so that she can make what every decisions need to be made.  But there are a lot of decisions that need to be made.  One important decision is whether or not to be cremated, which is a tradition on my paternal side.  I personally have an aversion to being buried – taking up that 6 by 8 foot space for my body, for all eternity – when my soul has already left – really bothers me.  And, therefore, my wish is to be cremated and to have a tree planted where my ashes are placed.   As Liz said, the marker is for the people for who are living to remember you by.  It is not the physical body that is important – it is the marker that is important. 

Abi asked if there was something I wanted to do before I die.  I like to write to my kids about how much I love them and some of my thoughts about life.  But, I don’t get to that; I just want to tell them how blessed I feel that choose me to be their parent.

I hope this find you well!

Love Blessings, Hope, Understanding,

Dan
http://katzstein.com

http://life.katzstein.com

 

Previous
Home
Next

Copyright July, 2004 - Please do not copy any part of this journal without written permission.